
DSS 造模发展历程
目前有多种动物模型被广泛用于研究炎症性肠炎(inflammatory bowel disease,IBD)的病因、发病机制及测试新开发药物药效等,尤其以葡聚糖硫酸钠盐(Dextran Sulfate Sodium Salt,DSS MW:36000~50000)结肠炎(ulcerative colitis,UC)模型应用最广。

图1. DSS溃疡病结肠炎模型发展历程
DSS建构的UC模型特点
通过给予动物自由饮用不同浓度的DSS(MW:36000~50000)水溶液,根据用药时间及用药周期可制成急性和慢性两种结肠炎模型。该模型症状表现与人类UC极为相似,主要表现为腹泻、黏液样便、粪便潜血、肉眼血便、重量减轻、活动度减少,毛色变差等。
表1 DSS结肠炎模型组织学特征
|
DSS结肠炎模型类别 |
急性期结肠炎模型 |
慢性期结肠炎模型 |
|
组织学改变 |
结肠充血、水肿、变短、变脆、重量长度比增加 |
结肠明显缩短 |
|
出现不同程度的结肠溃疡 |
粘膜增厚、淋巴结肿大 |
|
|
黏膜水肿、杯状细胞缺失、隐窝肿胀破坏 |
杯状细胞缺失、隐窝缺失 |
|
|
黏膜和黏膜下层出现不同程度的炎症细胞浸润,上皮细胞损伤 |
小部分动物出现腺瘤性息肉、肿瘤样改变 |
DSS UC模型的优势
1、症状表现与人UC极度相似,可用于研究急、慢性结肠炎的发生发展机制,也可用于药物的药效研究。
2、自由饮用DSS水溶液的建模方式,简单易行,成模率高,重复性强。
3、用不同浓度的DSS、给药时间和给药频率,可以实现急性和慢性两种结肠炎模型。模型持续时间长,体现了急性向慢性转化的动态过程,解决了UC的慢性化和维持问题,这是以前许多模型无法比拟的。
4、多种属动物中均可造模:小鼠、大鼠、斑马鱼、猪、果蝇等。
5、联合氧化偶氮甲烷 (azoxymethane, AOM)用药,可用于诱发结肠炎相关性癌症 (colitis associated cancer, CAC) 动物模型,成功模拟IBD诱发CAC的过程。
DSS UC模型建构实例
1、 小鼠造模(点击了解实验步骤详情)
1)BALB/c小鼠,雌,6-8周,25 g;
2)用无菌水配置3% DSS饮用水,然后用0.22 μm的滤膜过滤;
3)给小鼠连续饮用7天,HE染色;
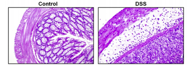
4)实验结果:小鼠的组织水肿充血,有明显的炎症现象。

图2 DSS急性结肠炎切片HE染色结果[1]
2、 斑马鱼造模(点击了解实验步骤详情)
1)将斑马鱼胚胎培养在含甲基蓝的E3胚胎培养基中,28.5 ℃,培养至1 dpf;
2)用E3培养基配置0.5% DSS饮用水,然后用0.22 μm的滤膜过滤;
3)用0.5%的DSS处理斑马鱼,从3 dpf处理到6 dpf。
4)实验结果:0.5%的DSS药物处理均会导致斑马鱼肝脏颜色变深,产生炎症应激。

图3 DSS导致斑马鱼肝脏产生炎症反应[2]
3、猪造模(点击了解实验步骤详情)
1)四到五天大的约克郡小猪,实验组:灌注DSS,对照组:灌注生理盐水
2)每只小猪每日摄入量1.25g DSS/kg,灌注5天
3)实验结果:灌注DSS后,实验组的血浆D-甘露醇摄取率显著高于对照组,表明小猪出现了肉眼可见的肠炎症状。

图4 DSS诱导致小猪体内D-甘露醇浓度高于对照组[3]
4、果蝇造模(点击了解实验详情)
1)实验组:5~10日的雌果蝇;
2)用5%的蔗糖溶液分别配制含有不同成分的喂食培养基,类别包括各含3%的DSS,25 μg/ml博来霉素;
3)果蝇放入含有层析纸的瓶中,29℃培养三天,期间每天将存活的果蝇移入含有新鲜培养基的空瓶中;
4)实验结果:DSS有致死的功能,且DSS诱导ISC前体细胞增殖。

图5 DSS诱导果蝇中ISC前体细胞增殖[4]
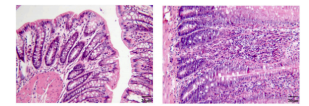
5、大鼠造模(点击了解实验详情)
1)实验动物:大鼠,8周龄,200 g;
2)实验步骤:饮用3.5% 浓度的DSS,连续饮用10天,HE染色;
3)实验结果:结肠黏膜异常(案例为文献中摘录)。

图6 健康大鼠和UC大鼠结肠炎切片HE染色结果[5]
6、结直肠癌模型(点击了解实验详情)
1)第1天称重并标记小鼠,实验组小鼠腹腔注射偶氮甲烷 AOM(10 mg/kg);
2)用常规饮用水喂食一周;
3)用2.5%浓度DSS替换饮用水喂食一周;
4)用常规饮用水喂食2周;
5)步骤3和步骤4重复3次。

如何评价造模是否成功?
1、疾病活跃指数评分(Disease Activity Index, DAI score)
从三个方面进行评估打分,分别为体重、粪便粘稠度、粪便潜血等指标,DAI评分为三个指标之和。
表2. DAI评分细则
|
评分 |
体重下降百分比 |
粪便粘稠度 |
粪便潜血 |
|
0 |
0 |
正常 |
阴性 |
|
1 |
1-5% |
软便 |
浅蓝 |
|
2 |
5-10% |
黏液样便 |
蓝色 |
|
3 |
10-20% |
稀液状便 |
深蓝 |
|
4 |
>20% |
|
肉眼血便 |
2、组织学变化评分
组织学变化评分为上述各指标之和,在急性结肠炎模型中淋巴结形成不做评分。组织学分析的标准方法为HE染色(Cat.NO:60524ES60)。
表3.组织学变化评分
|
评分 |
溃疡(个) |
上皮细胞变化 |
炎症浸润 |
淋巴结(个) |
|
0 |
0 |
正常 |
无 |
无 |
|
1 |
1 |
杯状细胞缺失 |
隐窝周围浸润 |
1 |
|
2 |
2 |
杯状细胞大面积缺失 |
黏膜肌层出现浸润 |
2 |
|
3 |
3 |
隐窝缺失 |
黏膜肌层普遍浸润,黏膜增厚 |
3 |
|
4 |
>3 |
隐窝大面积缺失或息肉状再生 |
黏膜下层浸润 |
>3 |
3、结肠长度
急性结肠炎模型中,第8天可检测到结肠长度缩短;慢性结肠炎模型中,结肠长度缩短更加明显。
4、总结
DSS UC动物模型构建应先进行预实验,摸索建模条件,建议预实验每组样本8-10只,并设立对照组。通常出现体重减轻、稀便、腹泻、血便或粪便潜血、溃疡可视为DSS药物有效,造模成功。
翌圣 DSS 建模实例
翌圣提供高品质DSS(Cat.NO:60316ES,MW:36000~50000),高纯度(>98%),硫含量17-19%,游离硫<0.2%,大量数据文献支持,广泛应用于UC模型的构建。

建模效率与进口产品一致,产品价格低至进口价格的1/3,大量现货库存。
客户1:
客户来源:中国医学科学院北京协和医学院放射医学研究所(天津)
小鼠类型:6~8周雄性C57BL/6J小鼠
造模方法:1.5% (w/v) DSS自由饮用15天

图7 Yeasen DSS(Cat#60316ES)小鼠造模实验结果(Yuan Li, et al. Gut Microbes(2019)789-806. IF=10.245)
客户2:
客户来源:南京农业大学
小鼠类型:体重为 20~22 g的8周龄雄性C57BL/6小鼠
造模方法:3% (w/v) DSS自由饮用7天

图8 Yeasen DSS(Cat#60316ES)小鼠造模实验结果(Xiaona Gao, et al. Journal of Nutritional Biochemistry 83 (2020) 108438. IF=6.048)
客户3:
客户来源:中国海洋大学
小鼠类型:4-5周龄SPF雄性C57BL/6J小鼠
造模方法:3.5% (w/v) DSS自由饮用一周

图9 Yeasen DSS(Cat#60316ES)小鼠造模实验结果(Hao H,et al.Frontiers in Immunology.2021.777147. IF=7.561)
表4. 用DSS构建不同类型的肠炎模型
|
模型 |
建模样本 |
造模方案 |
造模结果 |
使用评价 |
|
急性结肠炎 |
BALB/c小鼠,雌,6-8周,25 g |
3%-5% DSS连续自由饮用7天 |
Day5出现,结肠长度缩短、HE染色,炎症明显 |
成模速度快,用时短。符合急性结肠炎模型特征 |
|
C57BL/6小鼠,雄,8周,20 g |
3%-5% DSS灌胃,持续给药 |
Day5出现,结肠长度缩短、体重下降、便血、拉稀 |
成模率高,用时短。符合急性结肠炎模型特征 |
|
|
慢性结肠炎 |
C57BL/6小鼠,雄,8周,22 g |
1-2% DSS灌胃,持续给药 |
Day40出现,结肠长度缩短、体重下降、便血、拉稀 |
成模率高。符合慢性结肠炎模型特征 |
|
结肠癌 |
C57BL/6小鼠,雄,8周,21 g |
1%-2% DSS自由饮用5天,持续3周 |
14周 出现,结肠长度缩短、体重下降、HE染色,炎症明显 |
成模率高。符合结肠癌模型特征 |
常见问题
无论急性DSS结肠炎模型还是慢性DSS结肠炎模型,肠炎严重程度与成功与否均与小鼠种属(不同基因背景)、DSS浓度、给药周期等相关。
表5. DSS结肠炎造模常见问题
|
可能出现的问题 |
可能的原因 |
建议解决办法 |
|
小鼠致死率高 |
DSS浓度太高 |
降低DSS给药浓度 |
|
小鼠无肠炎症状或低肠炎症状 |
DSS浓度太低 |
升高DSS给药浓度;减少循环间隔时间(10-14天) |
|
同一组小鼠,肠炎症状差异大 |
瓶盖堵塞 |
每天检查小鼠饮水瓶 |
产品订购
热卖产品,建模效率与进口产品一致,产品价格低至进口价格的1/3,大量现货库存。
|
产品名称 |
货号 |
规格 |
价格(元) |
促销价(元) |
|
Dextran Sulfate Sodium Salt(DSS) 结肠炎建模用葡聚糖硫酸钠盐 MW:36000~50000 |
60316ES25 |
25 g |
1255.00 |
1058.00 |
|
Dextran Sulfate Sodium Salt(DSS) 结肠炎建模用葡聚糖硫酸钠盐 MW:36000~50000 |
60316ES60 |
100 g |
3855.00 |
2928.00 |
|
Dextran Sulfate Sodium Salt(DSS) 结肠炎建模用葡聚糖硫酸钠盐 MW:36000~50000 |
60316ES76 |
500 g |
16855.00 |
10628.00 |
|
Dextran Sulfate Sodium Salt(DSS) 结肠炎建模用葡聚糖硫酸钠盐 MW:36000~50000 |
60316ES80 |
1 kg |
32855.00 |
20528.00 |
相关产品
|
产品名称 |
货号 |
规格 |
价格(元) |
应用 |
|
60524ES60 |
2×100 mL |
358 |
染色液 |
|
|
60534ES50/60 |
6×50 mL/6×100 mL |
535/925 |
染色液 |
|
|
60317ES25/60 |
25 /100 g |
115/355 |
结肠炎治疗药物 |
|
|
60320ES08/ES25 |
5 /25 g |
45/135 |
结肠炎治疗药物 |
|
|
60403ES60 |
100 T |
288 |
粪便潜血检测 |
|
|
18820ES08/50/70 |
5 T/50 T/200 T |
300/878/3398 |
能高效获得优质的粪便DNA。 |
|
|
MolPure® Mag48 Soil/Stool DNA Kit FA 磁珠法48孔土壤 /粪便DNA提取试剂盒FA(预封装) |
18528ES48 |
48 T |
1425 |
磁珠法提取样本基因组DNA。 |
|
18526ES20/50/70 |
20 T/50 T/200 T |
605/1495/5995 |
磁珠法提取样本基因组DNA。 |
客户使用该产品发表的科研文献(不完全统计:部分)
[1] Li Zhao, Fei Wang,Zhengwei Cai,et al.Improving drug utilization platform with injectable mucoadhesive hydrogel for treating ulcerative colitis[J].chemical engineering journal.424(2021)130464.IF=16.744
[2] Lingjun Tong, Haining Hao, Zhe Zhang,et al.Milk-derived extracellular vesicles alleviate ulcerative colitis by regulating the gut immunity and reshaping the gut microbiota[J].Theranostics.2021; 11(17): 8570-8586 IF=11.556
[3] Li, Y., Dong, J., Xiao, H., Zhang, S., Wang, B., Cui, M., & Fan, S. Gut commensal derived-valeric acid protects against radiation injuries. Gut Microbes,.2020 .1–18.IF=10.245
[4] Jingjing Gan, Yuxiao Liu, Lingyu Sun,et al.Orally administrated nucleotide-delivery particles from microfluidics for inflammatory bowel disease treatment[J].Applied Materials Today.2021 Dec;25:101231 IF=10.041
[5] Li B, Du P, Du Y, et al. Luteolin alleviates inflammation and modulates gut microbiota in ulcerative colitis rats[J]. Life Sci. 2021 Mar 15:269:119008.IF=6.1
[6] JialiDong,YuanLi,HuiwenXiao,et al.Oral microbiota affects the efficacy and prognosis of radiotherapy for colorectal cancer in mouse models[J].Cell reports.2021, 109886.IF=9.423
[7] Hao H, Zhang X, Tong L, Liu Q,et al.Lactobacillus plantarumEffect of Extracellular Vesicles Derived From Q7 on Gut Microbiota and Ulcerative Colitis in Mice[J].Frontiers in Immunology.2021.777147 .IF=7.561
[8] Yaohua Fan,Yanqun Fan,Kunfeng Liu,et al.Edible Bird’s Nest Ameliorates Dextran Sulfate Sodium-Induced Ulcerative Colitis in C57BL/6J Mice by Restoring the Th17/Treg Cell Balance[J].Frontiers in Pharmacology.2021.632602.IF=7.561
[9] Jia-Rong Huang, Sheng-Te Wang, Meng-Ning Wei,et al.Piperlongumine Alleviates Mouse Colitis and Colitis-Associated Colorectal Cancer[J].Frontiers in Pharmacology.2020.586885. IF=7.561
[10] Gao X, Fan W, Tan L, et al. Soy isoflavones ameliorate experimental colitis by targeting ERα/NLRP3 inflammasome pathways[J]. The Journal of Nutritional Biochemistry, 2020, 83.IF=6.048
[11] Lujuan Xing, Lijuan Fu, Songmin Cao,et al.The Anti-Inflammatory Effect of Bovine Bone-Gelatin-Derived Peptides in LPS-Induced RAW264.7 Macrophages Cells and Dextran Sulfate Sodium-Induced C57BL/6 Mice[J]. Nutrients 2022, 14, 1479. IF=5.717
[12] Wang S, Huang J, Tan KS, et al.Isosteviol Sodium Ameliorates Dextran Sodium Sulfate-Induced Chronic Colitis through the Regulation of Metabolic Profiling, Macrophage Polarization, and NF-B Pathway[J].Oxidative Medicine and Cellular Longevity. 2022,4636618. IF=5.076
[13] Mengmeng Xu, Ying Kong, Nannan Chen,et al.Identification of Immune-Related Gene Signature and Prediction of CeRNA Network in Active Ulcerative Colitis[J].Frontiers in Immunology.2022; 13: 855645. IF=7.561
相关专题
视频资料

高品质DSS助力科研文献发表,发SCI最高可得2000元(点击了解详情)
